Gentle, carefully planned care from an Oral & Maxillofacial Surgeon Sydney
Oral & Maxillofacial Pathology Sydney
Specialist diagnosis and management of oral, jaw, and facial lesions by a qualified Oral & Maxillofacial Surgeon.
Accurate diagnosis is the first step toward effective treatment. Oral pathology involves identifying and managing conditions that affect the mouth, face, and jaws from infections and benign growths to complex or cancerous lesions.
Dr Kristian van Mourik, a Sydney-based Oral & Maxillofacial Surgeon with dual medical and dental qualifications, provides comprehensive assessment, biopsy, and surgical care for oral lesions. Each diagnosis is supported by advanced imaging and evidence-based treatment planning to ensure clarity, precision, and peace of mind.
What is Oral Pathology?
Pathology is the study of the causes and effects of a disease
Oral pathology refers to diagnosing conditions affecting your mouth, face, neck and jaw. It may be a problem you were born with, an infection, a cancerous growth or an autoimmune condition.
Because the head and neck region contains many different tissues and complex anatomy, accurately diagnosing oral diseases can be challenging. For this reason, patients are often referred to a specialist Oral and Maxillofacial Surgeon for thorough examination, investigation, diagnosis, and treatment planning.
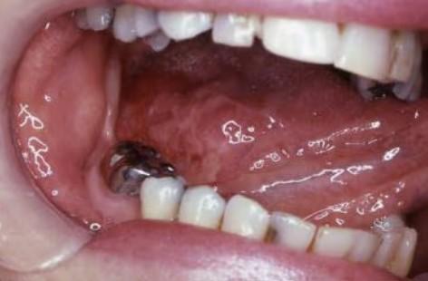
Squamous cell carcinoma of the tongue
Benign or Cancerous?
Benign lesions are an abnormal growth of cells which do not spread to other regions of the body. Some may grow to a size where they cause damage to local structures. Benign lesions may require surgery. Â Some benign lesions reoccur and need monitoring over several years.
Cancerous lesions are an abnormal growth of cells which invade nearby tissues. These cancers can move into your blood stream and lymph nodes, and can spread to other parts of the body. Cancerous lesions usually require urgent surgical attention. Other cancer specialists will also be involved in your care.
How Do You Diagnose Oral Pathology?
Initial Consultation
During your first visit, Dr van Mourik will:
- Take a detailed medical history and discuss any relevant risk factors
- Perform a comprehensive oral, head and neck examination
- Screen for signs of oral disease or cancer
Investigations and Tests
If further assessment is required, Dr van Mourik may arrange:
- Blood tests
- Biopsy – removal of a small tissue sample under local anaesthetic for microscopic examination
- Imaging – such as:
- Ultrasound
- OPG dental X-rays
- CT, MRI or PET scans
These investigations help confirm the diagnosis and rule out serious conditions like oral cancer.
Diagnosis and Treatment Planning
Once results are available (usually within a few days), Dr van Mourik will:
- Review your results and explain the findings
- Discuss the most likely diagnosis
- Recommend suitable treatment options
How Do You Treat Oral Pathology?
Treatment depends on whether the lesion is benign or cancerous:
For benign (non-cancerous) conditions:
Treatment depends on the type, size, and location of the lesion, as well as your individual symptoms. Management may include:
- Medication: In some cases, medicines such as antibiotics, anti-inflammatories, or topical treatments may be prescribed to help reduce swelling, pain, or infection.
- Surgical removal: If the lesion is unlikely to resolve on its own or is causing discomfort, Dr van Mourik may recommend a minor surgical procedure to remove it. This can often be done under local anaesthetic in the clinic, or under general anaesthetic in hospital for larger or more complex cases.
- Ongoing monitoring: Some benign lesions may not require immediate intervention. In these cases, Dr van Mourik will schedule regular reviews and imaging to monitor any changes over time.
- Symptom management: Supportive care is provided to relieve discomfort, manage inflammation, and maintain oral health while the condition is being observed or treated.
For cancerous conditions:
For patients diagnosed with cancerous conditions, treatment often involves a multidisciplinary approach . This means your care is carefully planned and coordinated between various specialists — including your Oral and Maxillofacial Surgeon, oncologists, radiotherapists, and other healthcare professionals.
Treatment options may include:
- Surgery: To remove the cancerous lesion and any affected surrounding tissues.
- Chemotherapy: The use of specialised medicines to destroy or slow the growth of cancer cells.
- Radiotherapy: High-energy X-rays are used to target and destroy cancer cells, helping to prevent further spread of the disease
Types of Surgery for Oral and Jaw Cancer
Surgery for cancer depends on the type, stage and location of the cancer:
Resection of the tumour
This is the removal of the cancerous tumour and the tissue surrounding it.
Maxillectomy
Involves removing the tumour, part of the roof of your mouth and possibly, other areas of the upper jaw bone that are affected.
Mandibulectomy
Involves the partial removal of your lower jaw.
Laryngectomy
Is performed if a large tumour on your tongue or the area at the back of your throat extends to your larynx (voice box).
Removal of lymph nodes
and surrounding tissue in your neck is sometimes required if the cancer has already spread there.
Where Will the Surgery be Performed?
Depending on your specific condition and medical needs, you may be able to have a biopsy completed during your initial consultation. This procedure is performed under local anaesthetic, using small injections to numb the teeth, gums, and surrounding tissues to ensure you remain comfortable throughout.
A small tissue sample is then collected and sent to a laboratory, where a specialist Pathologist examines it under a microscope to determine the exact nature of the lesion. Dr van Mourik typically receives the biopsy results within a week and will arrange a follow-up appointment to discuss the findings and any recommended next steps.
For cancerous lesions or larger benign growths, more definitive treatment is carried out in a hospital setting under general anaesthetic.
Â
Recovery After Oral Pathology Treatment
After your procedure, Dr van Mourik will provide detailed post-operative care instructions tailored to your specific surgery. You will also be given any necessary prescriptions, such as antibiotics, pain relief, or medicated mouthwash, to support healing and comfort.
Following your procedure, you will receive a follow-up call from Dr van Mourik or a member of his team to check on your recovery. If your procedure requires a hospital stay, Dr van Mourik will visit you daily until you are discharged.
Costs of Oral Pathology Treatment
The cost of having an oral lesion examined or removed in Sydney can vary depending on several factors, including the size and location of the lesion, the complexity of the procedure, and whether it requires a biopsy or surgery under general anaesthetic.
Dr van Mourik routinely manages oral lesions ranging from simple to complex cases. With extensive experience in Oral and Maxillofacial surgery, you can be confident you’ll receive expert, high-quality care at a fair and transparent cost.
You will receive a detailed, itemised quote before your procedure, which can be submitted to your private health fund and Medicare to check available rebates.
For cases performed under general anaesthetic, an anaesthetist will be involved. Their details and fee schedule will be provided separately. Please note that Medicare and private health insurance typically cover a significant portion of the anaesthetist’s fee, though not the full surgical cost.
To make treatment more accessible, we also offer flexible finance options.
Why Seeing a Specialist Oral and Maxillofacial Surgeon Matters?
Oral lesion treatment is a specialised area of care that requires advanced training and an in-depth understanding of both medicine and dentistry.
Oral and Maxillofacial Surgeons have the highest level of qualifications in this field — trained as a surgeon, doctor, and dentist. This unique combination of expertise allows them to assess and manage oral lesions safely, accurately, and comprehensively.
They regularly diagnose and treat a broad spectrum of oral lesions providing the highest standard of diagnostic and surgical care. An Oral and Maxillofacial Surgeon’s approach ensures:
- Assessment and surgery performed to the highest technical and clinical standard
- Accurate diagnosis and appropriate management based on the latest medical and dental knowledge
- The best chance of a smooth recovery and long-term oral health
- A lower risk of complications or recurrence
- Specialist medical expertise to manage any complications, should they arise
When it comes to your oral health, trust an Oral and Maxillofacial Surgeon to provide safe, evidence-based treatment and peace of mind.
Meet Dr Kristian van Mourik
Meet Dr Kristian van Mourik
BBioMed, BDSHons, MBBS, FRACDS OMS
Dr Kristian van Mourik is a fully qualified Oral & Maxillofacial Surgeon with more than 15 years of specialist practice in Sydney. He holds dual degrees in medicine and dentistry, supported by extensive surgical training, making him one of the few surgeons in Australia with this level of expertise.
Academic background includes:
- Bachelor of Biomedicine – Monash University
- Bachelor of Dentistry with Honours – University of Sydney
- Bachelor of Medicine / Bachelor of Surgery – University of Sydney
His practice covers the full scope of oral and maxillofacial surgery, including TMJ disorders, corrective jaw surgery, wisdom tooth removal, dental implants, trauma surgery, and oral pathology. Dr van Mourik is registered with both the Medical Board of Australia and the Dental Board of Australia as a specialist Oral & Maxillofacial Surgeon.
Areas We Service for Oral Pathology Management and Surgery
TMJ management and surgery available across Sydney’s Eastern Suburbs and North Shore.
- Bondi
- Bronte
- Clovelly
- Coogee
- Randwick
- Paddington
- Woollahra
- Double Bay
- Bellevue Hill
- Tamarama
- Waverley
- Surrounding Eastern Suburbs
- Roseville
- Chatswood
- Killara
- Gordon
- Pymble
- Turramurra
- St Ives
- Wahroonga
- Hornsby
- Willoughby
- Castle Cove
- Other North Shore suburbs
Oral Pathology FAQ
How do I know if my mouth lesion is cancerous or not?
You should seek medical advice for any lesion that is sore, lumpy, patchy, or does not heal within three weeks. This is especially important if the area appears red or white, has an irregular border, changes in shape, or is associated with symptoms such as difficulty swallowing, bleeding, or numbness.
What are common oral pathology conditions?
After tooth decay and root infection, some common conditions affecting the mouth include:
- Candidiasis (Oral Thrush): A fungal infection caused by Candida yeast, leading to white patches, soreness, and a burning sensation in the mouth.
- Herpes Simplex Virus (Cold Sores): A viral infection that causes painful blisters or ulcers, usually on the lips or inside the mouth.
- Black Hairy Tongue: A harmless condition where the tiny bumps on the tongue’s surface grow longer and trap bacteria or food, giving a dark, furry appearance.
- Herpetic Stomatitis: A widespread herpes infection inside the mouth, often seen in children, causing multiple painful ulcers and fever.
- Leukoplakia: White patches on the mouth’s lining that cannot be rubbed off; while often benign, they can sometimes be precancerous and need professional assessment.
- Lichen Planus: An inflammatory condition that causes white, lace-like patches or red, swollen areas inside the mouth, sometimes leading to discomfort or burning.
It’s important to see an Oral and Maxillofacial Surgeon, who has both medical and dental training, for accurate diagnosis and appropriate treatment of these conditions.
What happens if I am diagnosed with oral cancer?
A diagnosis of oral or head and neck cancer can be challenging and overwhelming. Oral and Maxillofacial Surgeons have specialised training and significant experience in managing these conditions; however, treatment often involves a collaborative approach with a team of healthcare professionals. In some cases, your situation may be reviewed or referred to a Multi-Disciplinary Team (MDT) at a larger centre to ensure comprehensive care. If this is necessary, your surgeon will discuss the process with you in detail.
What can I eat after removal of a mouth lesions?
After removal of a mouth lesion, stick to a soft diet (yogurts, soups, mashed potatoes, egges etc)Â for a day or two to avoid irritating the surgical site. Avoid hot, spicy, crunchy, or acidic foods, as these can cause irritation. As your mouth heals and any tenderness settles, you can gradually return to your normal diet.
What should I do after removal of an oral lesion?
After your surgery, rest at home and avoid driving, exercise, or work until advised. Do not drink alcohol while taking medication, and avoid smoking for at least five days. Some pain, swelling, and minor bleeding are normal — use ice packs and bite on gauze if needed. Stick to a soft diet for about a week. Dr van Mourik will provide guidance on suitable foods.
Is oral cancer/pathology covered by Medicare in Australia?
Medicare provides a rebate for part of your initial consultation. If you see an Oral and Maxilloacial surgeon with medical qualifications, part of the your treatment (depending on treatment) is applicable for Medicare.Â
If your treatment requires a general anaesthetic, Medicare and most private health funds usually contribute towards the anaesthetist’s fee.
Does private health insurance cover oral cancer/pathology treatment?
Depending on your extras cover, private health insurance will pay for part of treatment. Coverage varies. We will provide you with an itemised quote so you can contact your insurer to confirm what’s included and whether waiting periods apply.
2
Convenient locations
120+
Verified Reviews
Trusted by Hundreds of Patients Across Sydney
Dr Kristian van Mourik has received over 120 verified Google reviews across his Lindfield and Bondi Junction clinics.
While Australian healthcare advertising regulations limit how patient reviews can be displayed on medical service pages, prospective patients are welcome to view independent feedback directly on Google.
This volume of reviews reflects years of specialist Oral and Maxillofacial surgical care, clear communication, and a consistent patient experience across both clinic locations.
Our Sydney Clinics
Bondi Junction
Located in the heart of the Eastern Suburbs, our Bondi Junction clinic is easily accessible by train, bus, and nearby parking.
Lindfield
Conveniently positioned on the North Shore, our Lindfield clinic is close to public transport and offers parking options nearby.
