JAW EXPANSION SURGERY SPECIALIST IN SYDNEY
Jaw Widening Surgery and Jaw Expansion Surgery (SAME) in Sydney
Jaw widening surgery, also called Surgically Assisted Maxillary Expansion (SAME), is performed when orthodontic treatment alone cannot create the space your teeth and airway need. Dr. Kristian van Mourik plans each procedure with your orthodontist and performs surgery at accredited Sydney hospitals.
With more than 15 years of specialist practice, Dr Kristian van Mourik provides Jaw Expansion at clinics in Bondi Junction and Lindfield.
Our practice provides a wide scope of Oral and Maxillofacial Surgery in Sydney, built on more than 15 years of specialist experience. With two established clinics and a patient-first approach, we focus on careful planning, clear communication, and safe surgical care. Learn more about our team and history in the link below
What is Jaw Expansion Surgery (SAME)
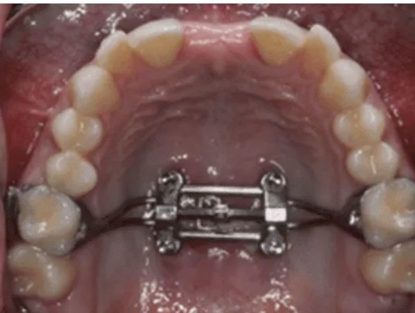
| Jaw expansion surgery, also called SAME (Surgically Assisted Maxillary Expansion) or maxillary expansion surgery, is used to widen a narrow upper jaw and create space for your teeth, bite, and airway. It is recommended for moderate to severe cases where orthodontic treatment alone cannot achieve sufficient expansion, particularly in adolescents and adults whose jawbones have fully fused. Treatment is planned with your orthodontist and performed by Dr. Kristian van Mourik as a specialist oral and maxillofacial surgeon. |
Why Get Jaw Expansion Surgery?
If your upper jaw is too narrow, jaw widening surgery may improve your bite, breathing, and facial balance. The following are the most common reasons your orthodontist or dentist may refer you for upper jaw expansion surgery.
Create more space for your teeth
A narrow upper jaw causes crowded, overlapping, or impacted teeth. Jaw widening surgery creates room for your adult teeth to align without extraction.
Fix bite issues (like crossbites)
A narrow upper jaw causes crossbites and misaligned teeth. Upper jaw expansion surgery widens the palate so your upper and lower teeth meet correctly.
Improve airway and breathing
A narrow palate restricts your nasal airway. Surgical palate expansion can ease breathing difficulty, reduce snoring, and support treatment for mild sleep-disordered breathing.
Prevent more complicated treatments later
Addressing a narrow jaw early reduces the likelihood of needing tooth extractions, corrective jaw surgery, or extended orthodontic treatment later.
Facial balance
Jaw widening can improve facial symmetry and the overall proportion of your features, from both the front and the side.
How is Jaw Expansion Surgery Performed?
Dr. Kristian van Mourik performs upper jaw expansion surgery and maxillary expansion surgery in an accredited private Sydney hospital. A specialist anaesthetist administers general anaesthetic, so you are fully asleep and comfortable throughout
During the Surgery
- Surgery is performed mostly inside the mouth, leaving no visible external scars.
- In rare cases a small incision is placed in a natural skin fold.
- Small cuts are made in the upper jawbone and a jaw expansion appliance is fitted to the roof of your mouth.
After the Surgery
- Jaw widening begins about three days after surgery, when gradual adjustments to the appliance start.
- This palate expansion surgery phase continues over several weeks.
- Once the upper jaw has reached the target width, the appliance stays in place for a few months to allow the bone to consolidate.
- Orthodontic treatment then begins to align the teeth and finalise the bite.
Can the Lower Jaw Also Be Expanded?
The terms jaw widening surgery and jaw expansion surgery most often refer to widening the upper jaw (maxilla). However, questions about lower jaw expansion surgery and mandibular expansion surgery are common.
Expanding the lower jaw (mandible) surgically is a less common procedure and is approached differently to upper jaw expansion. It may be considered in specific cases, such as a narrow lower dental arch or certain airway conditions, and is always planned in detail with your orthodontist.
If you have been told you may need lower jaw widening surgery or mandibular expansion surgery, Dr. Kristian van Mourik can assess whether surgery is appropriate and what approach best suits your case.
Recovery After Jaw Expansion Surgery
Hopital Stay
Most patients spend one night in hospital following jaw expansion surgery, with discharge the following day once comfortable.
Pain Relief
- Immediately after surgery you’ll be prescribed intravenous pain relief by your surgeon.
- After about 24 hours, you should be comfortable using regular pain tablets such as Nurofen® or Panadeine®.
Time Off Work/School
Plan for 2 to 7 days off work or school after jaw widening surgery. Most patients return to desk-based work within the first week.
Stitches
Most stitches used are dissolving. They typically dissolve over 1 to 2 weeks.
Diet
- For the first week, you’ll be on a soft-food diet (with no straws) to protect your healing jaw.
- After the initial period you’ll gradually move back to normal foods as advised by your surgeon.
Oral Hygiene & Follow-Up Care
While the jaw expansion appliance is in place, brush carefully with a soft toothbrush and rinse with warm salt water after meals. Dr. Kristian van Mourik and your orthodontist will review your progress at regular intervals to confirm that upper jaw expansion is proceeding as planned.
Your surgeon will provide you with detailed post-operative instructions tailored to your case. Following these instructions carefully will support a smoother recovery and help avoid complications.
A Personalised Approach
No two jaw widening surgery cases are the same. Each procedure is planned around your facial structure, bite, airway needs, and treatment goals. In addition to improving bite function and creating space for your teeth, jaw expansion can improve facial symmetry, affecting how your features look from both the front and the side. The outcome is improved oral health and a more natural, balanced appearance.
What to Expect Before and After Jaw Expansion Surgery

Before Surgery
Before your jaw widening surgery, Dr. Kristian van Mourik will assess your case in detail. This includes a clinical examination, imaging, and a planning consultation with your orthodontist. Pre-surgical orthodontic preparation is often required to position your teeth correctly before the procedure begins.

After Surgery
After jaw expansion surgery, most patients notice gradual changes to their bite alignment, breathing comfort, and facial proportion over the months following their procedure. The full result of upper jaw expansion surgery becomes visible once orthodontic treatment is complete and the bone has fully consolidated, typically 12 to 18 months after surgery. Results vary based on your starting anatomy, the degree of expansion required, and how closely you follow your post-operative care instructions.
Jaw Expansion Sydney Costs
Jaw expansion surgery cost in Sydney varies depending on your case complexity, hospital, and anaesthetist. Medicare covers part of the initial consultation. We provide a full surgical quote before your procedure so you can check your private health insurance rebate. The anaesthetist’s fees are separate, and we will provide their contact details so you can confirm their schedule directly. Both Medicare and private health insurance contribute to anaesthesia costs.
Why Seeing an Oral and Maxillofacial Surgeon Matters
Jaw widening surgery is a complex surgical procedure. Oral and Maxillofacial Surgeons are the highest-trained specialists for this type of jaw surgery, having completed full qualifications in surgery, medicine, and dentistry. When choosing a surgeon for jaw expansion surgery in Sydney, specialist training matters.
They regularly perform jaw surgery and offer the highest standard of surgical care. An Oral and Maxillofacial surgeon’s approach ensures:
- Surgery performed to the highest technical standard for jaw widening and palate expansion
- The best outcomes for recovery and long-term bite and airway function
- Treatment based on current surgical and dental practice
- Reduced risk of complications from maxillary expansion surgery
- Specialist medical expertise to manage any issues that arise
Trust an Oral and Maxillofacial Surgeon for the best outcomes for your jaw expansion surgery.
Meet Dr Kristian van Mourik
Meet Dr Kristian van Mourik
BBioMed, BDSHons, MBBS, FRACDS OMS
Dr. Kristian van Mourik is a specialist Oral and Maxillofacial Surgeon based in Sydney, with more than 15 years of experience performing jaw widening surgery, jaw expansion surgery, and the full scope of oral and maxillofacial procedures. He holds dual qualifications in medicine and dentistry, making him one of a small number of surgeons in Australia trained to this level.
Academic background includes:
- Bachelor of Biomedicine – Monash University
- Bachelor of Dentistry with Honours – University of Sydney
- Bachelor of Medicine / Bachelor of Surgery – University of Sydney
His practice covers the full scope of oral and maxillofacial surgery, including TMJ disorders, corrective jaw surgery, wisdom tooth removal, dental implants, trauma surgery, and oral pathology. Dr van Mourik is registered with both the Medical Board of Australia and the Dental Board of Australia as a specialist Oral & Maxillofacial Surgeon.
Dr Kristian Van Mourik Associations & Accreditations
Areas We Service for Jaw Expansion
Jaw expansion surgery available across Sydney’s Eastern Suburbs and North Shore.
- Bondi
- Bronte
- Clovelly
- Coogee
- Randwick
- Paddington
- Woollahra
- Double Bay
- Bellevue Hill
- Tamarama
- Waverley
- Surrounding Eastern Suburbs
- Roseville
- Chatswood
- Killara
- Gordon
- Pymble
- Turramurra
- St Ives
- Wahroonga
- Hornsby
- Willoughby
- Castle Cove
- Other North Shore suburbs
Jaw Expansion Surgery FAQs
At what age should a child get a palate expander?
Jaw expansion surgery is typically recommended for adolescents and adults whose jawbones have fused, making orthodontic expansion alone insufficient. Children whose bones are still growing may be treated with a removable or fixed orthodontic expander first. Your orthodontist will advise on timing based on your child’s development.
How will I know if my child or I need a palate expander?
Your dentist or orthodontist will identify whether your upper jaw is too narrow through an examination and X-rays. Common signs include crowded teeth, a crossbite, difficulty breathing through the nose, or a history of sleep-disordered breathing. If orthodontic treatment alone cannot achieve enough expansion, you may be referred for a surgical assessment.
What are the risks or complications of a palate expander?
Jaw expansion surgery is performed under general anaesthetic in an accredited hospital by a specialist oral and maxillofacial surgeon, which minimises surgical risk. As with any procedure, risks include swelling, temporary discomfort, and the need for follow-up. Dr. Kristian van Mourik will discuss all risks specific to your case at your consultation.
How painful is a palate expander?
Most patients experience manageable discomfort after jaw widening surgery rather than severe pain. You will be prescribed intravenous pain relief immediately after surgery. By day two, most patients are comfortable with standard over-the-counter medication. You should plan for 2 to 7 days off work or school. Full recovery and bone consolidation takes several months
How long do palate expanders stay in?
The jaw expansion surgery itself takes approximately one to two hours. The expansion appliance placed during surgery remains in your mouth for several months, first while active widening occurs over several weeks, then while the bone consolidates. Orthodontic treatment begins once the surgeon and orthodontist confirm adequate healing.
Is a palate expander really necessary?
Double jaw surgery (bimaxillary osteotomy) repositions both the upper and lower jaws but does not widen the upper jaw in the same way as SAME. If palate widening is also needed, jaw expansion surgery may be planned as a separate step with your orthodontist before or after double jaw surgery. Dr. Kristian van Mourik can advise on the right sequence for your case.
Can a palate expander cause facial changes?
Jaw widening surgery can improve facial symmetry by widening the upper jaw and balancing the proportions of your face. Most patients notice a subtle positive change in facial harmony, particularly from the front. The procedure does not dramatically alter your features. The goal is proportion, not a fundamentally different appearance.
Our Sydney Clinics
Bondi Junction
Located in the heart of the Eastern Suburbs, our Bondi Junction clinic is easily accessible by train, bus, and nearby parking.
Lindfield
Conveniently positioned on the North Shore, our Lindfield clinic is close to public transport and offers parking options nearby.
